インプラント
周囲の健康な歯に負担をかけず、自分の歯に近い噛み心地や見た目を取り戻す治療。
インプラントとは?
インプラント治療とは、歯のなくなった部分に対して歯を作る方法です。
チタン製のインプラント体を直接顎の骨に埋め込み、その上に人工の歯を作ることで新たに歯を獲得することができます。
歯がなくなった時に
歯を作る方法
歯がなくなった時の治療法には3つの方法があります。
ブリッジ
歯がない部分の両隣の歯を削り、つながった被せ物を接着剤でつける方法
義歯(入れ歯)
残っている歯にバネをかけ、取り外しをしながら使用する方法
インプラント
歯がない部分の骨に人工の歯根(インプラント)を埋め込み新しく歯を作る方法
ブリッジなら金属を使った保険適用のもの、セラミックを使った自由診療のもの、入れ歯にも保険適用、適用外のものと種類はありますが、それは材質の差であって、方法としてはこの3種類から選ぶことになります。
(他にも他の歯を移植する方法もあるのはありますが適用が限られており、今回は割愛します。)
種類
| 比較項目 |
ブリッジ
|
入れ歯
|
インプラント
|
|---|---|---|---|
| 違和感 | 〇 | 〇 | ◎ |
| 清掃性 | ✕ | ◎ | ◯ |
| 他の歯への負担 | 両端の幅全く問題のない歯の場合でも削る必要がある | バネのかかる歯に負担がかかる | なし |
| 費用 | 保険内のものであれば型取りも合わせて3割負担で1歯1万円程度(最低3歯から) | 本数による保険適用のものであれば総義歯でも3割負担で1~2万円程度 | 自由診療のため高額 1歯40万円程度 |
当院がインプラント治療を
行う理由
当院では歯がないところに全てインプラント治療をお勧めするわけではありません。
現状の口の中全ての歯の状態を診査し、現状症状などはなくても将来の治療の可能性を検討し、その上で将来的にもここにインプラントがあっても困らない場合のみ提案いたします。
インプラントのメリット
インプラントには、他の歯へ負担をかけることなく失った場所に歯を新しく作れるというメリットがあります。 そのため、他の歯が全てほとんど治療歴がなく健康な状態であれば基本的にはインプラント治療をお勧めしています。失った歯のために現状健康な歯を削ってその歯の寿命を縮めてしまうのはもったいないからです。ブリッジの土台の歯が悪くなり、その歯を抜歯し再度次の歯を削ってブリッジにし、その歯もダメになり入れ歯になる。こういった連鎖の治療経過を辿っている患者様をよくお見かけします。
将来を見据えた治療計画の重要性
保険適用内の治療のみでしたら仕方のない選択なのですが、やはり1本目歯がなくなった時にインプラントで対応していれば違った経過になっていたかもと考えてしまいます。
歯がなくなっていく連鎖の防止としてインプラント治療は大きな役割を果たせます。
症例紹介
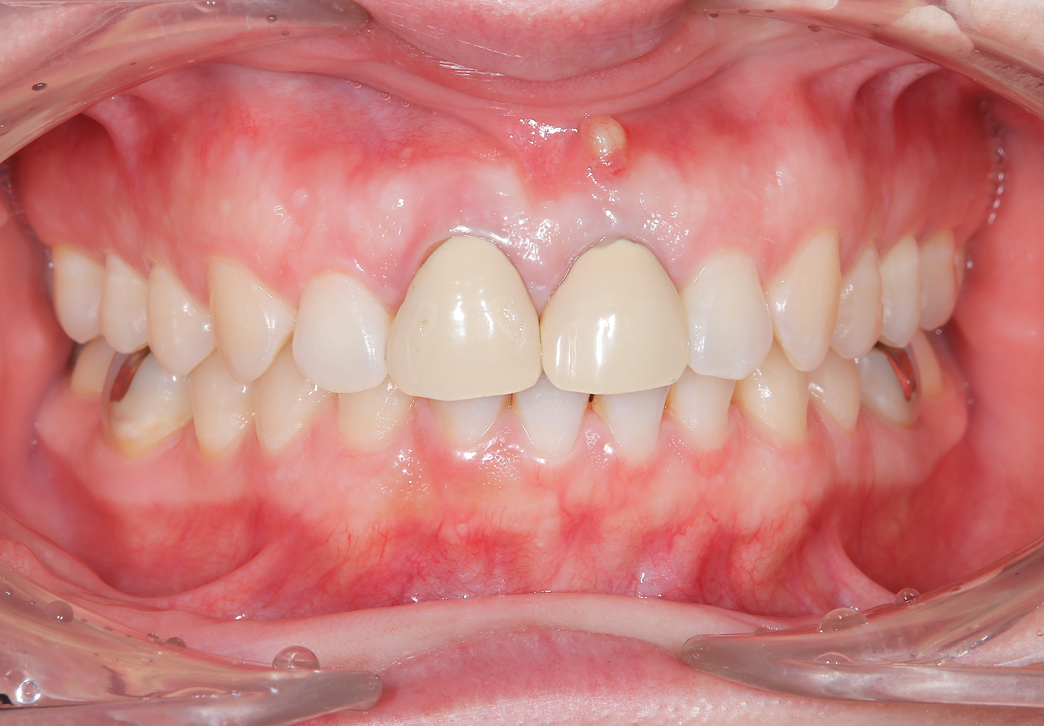
前歯2本にインプラント治療を行なったケース
主訴:前歯の歯茎にできものができた。
治療概要:左上(写真では右)の真ん中の歯、根元の方にニキビのようなできものができています。診査の結果この歯は根が割れており、抜歯と判断しました。
治療前
治療後
前歯2本がインプラント治療に至った背景
お口全体を検査したところ、自覚はありませんでしたが、右の前歯もレントゲンを見ると歯の根の中腹あたりが溶けてしまっています。この歯も残念ながら抜歯となると判断しました。
行った治療
左上は歯の周りに骨が全然なかったので抜歯後に骨を作る処置(GBR)を行いました。
緑部分が作った骨になります。半年間待ちましたが、これがないと仕上がりが長い歯になってしまい、すごく見た目が悪くなってします。
まとめ
デジタルシミュレーションを駆使したことで、術前の「生理的咬合である」という診断に基づいた精密な治療計画の立案が可能となりました。
治療期間はかかりましたが、計画通りに全顎の機能回復を達成し、「安心して噛める」状態を取り戻すことができました。
治療は完了しましたが、この状態を長く維持するため、今後はメンテナンスでの噛み合わせのチェックが非常に重要となります。
病的咬合と判断し全顎治療を行ったケース
主訴:入れ歯が壊れた。
治療概要:下の入れ歯が壊れたということで来院されました。
よく見ると入れ歯のバネにはゴールドが使用され、上の入れ歯の保険適用外の金属床という入れ歯を使用されておりました。
治療前
治療後
病的咬合と判断に至った背景
もちろんこのまま入れ歯を作り直すこともできるのですが、入れ歯が壊れた原因を解決しない限りまた割れてしまいます。
診査していくと、入れ歯の強度の問題ではなく、この方の噛み合わせに問題がある、「病的咬合」であると診断しました。
話を聞くと、この患者様の場合、40代くらいから入れ歯を使用されていたそうです。何故早期に歯がなくなってしまったのか、また、入れ歯の破折を繰り返すのか、この原因は今残っている、下の前歯の傾きにあると判断しました。
前歯の役割を「アンテリアガイダンス」と呼びます。この「アンテリアガイダンス」が不適切だと、奥歯の負担が大きくなります。この患者様の場合その負担に奥歯の周囲組織が耐えきれず、早期に抜歯に至ったようです。また、奥歯がなくなると上の前歯は下の前歯に突き上げられ、強い力が加わり揺れたり、割れたりします。 このような理由で口腔全体を含めた「全顎の治療」計画を提案させていただきました。
行った治療
最後は下の前歯だけが残る、この状態の患者様はよく見かけます。この患者様の場合、歯がなくなった原因が「不適切なアンテリアガイダンス」です、これを改善しない限り、入れ歯にしろ、インプラントで歯を作るにしろ、ご自身の歯が抜けてしまったように壊れてしまうのは当然です。
まず一番必要なのは、下の前歯の傾きを適正なものにし、「適切なアンテリアガイダンス」を作ることです。今回、下の前歯を全て残した状態で矯正治療により適切な位置に歯を動かすか検討しましたが、歯を支える骨の問題で矯正治療では対応できず、犬歯以外は抜歯しBrにて適切な前歯の形を作る治療計画を立てました。
理想は歯も残して病的な位置を改善させたいのですが、今回は残念ながら無理でした。ただ、病的な位置をそのままにすることで安定した状態が作れません。歯より「安定して噛める状態」を優先するか、病的な位置の歯を残し、安定を求めずに治療を繰り返しながら過ごすのか、これは患者様との相談上決定するようにしております。
今回は抜歯し「安定して噛める状態」を作ることで同意されたのでこのような治療を行なっております。下の歯は入れ歯より強固なインプラントを選択し、上は総義歯を使用し治療をいたしました。
総義歯の歯茎の色もこだわり、審美面からも満足していただけたかと思います。
まとめ
本来はこのような状態になる前に(できれば永久歯が完成したら早めに)矯正治療をしておくのがベストだったと思います。患者様の責任ではなく、歯科医師側の責任です。
現状の問題点と将来のリスクをしっかり説明し、理解してもらうことは重要な仕事だと改めてこの患者様の治療で感じました。
インプラント治療費用
(税込価格)
- 1次オペ費用(顎の骨にインプラントを埋める手術)
- 198,000円
- 2次オペ費用(インプラントと歯ぐきを交通させる手術)
- 22,000円
- 仮歯費用(仮歯で歯ぐきの状態を整える)
- 11,000円
- 人工歯の型取り費用
- 11,000円
- アバットメント費用(インプラントと人工の歯を繋ぐ土台)
- 33,000円
- 人工歯の費用(奥歯/前歯)
- 99,000/110,000円
- 奥歯
- 374,000円
- 前歯
- 385,000円
オプション費用
(税込価格)
- GBR (骨再生誘導法)
- ・インプラントと同時の場合
- 55,000円
- ・インプラントと別日の場合
- 88,000円
- サイナスリフト
- 110,000円
- ソケットリフト
- 55,000円
- 歯肉移植
- 33,000円
- サージガイド(オペで使用する装置)
- 55,000~88,000円
- Wax-up
- 5,500円 (1本)

